FNAC Testing Centre
FNAC Testing Centre in Jaipur — Accurate, Quick & Safe FNAC Testing
FNAC Testing | Thyroid FNAC | Lymph Node FNAC | Breast Lump FNAC | Ultrasound-Guided FNAC
If there happens to be any lump or swelling or nodule that appears anywhere, whether it is the neck, thyroid gland, breast, armpit, or groins, the question being asked is: should I be alarmed? Imaging techniques such as ultrasound and CT scans would provide information pertaining to its dimensions and form, but they won’t tell you much about its true nature either. That is where the power of FNAC lies. FNAC is basically amongst the most popular and most reliable techniques to provide insight into the nature of any lump with minimal surgical intervention.
For you to locate an FNAC testing centre in Jaipur, you must be searching for an option that is known to offer accurate procedures, asepsis, and proper advice, particularly when it comes to evaluating smaller, deeper, and non-palpable lesions. FNAC is not really a very complicated procedure, and accuracy is required. The overall concern is to obtain the correct type of cell from the correct location to yield an appropriate result. When image guidance is applied, FNAC is more accurate, and there is less necessity to test repeatedly.
What is FNAC Testing?
Fine Needle Aspiration Cytology, or FNAC, is a type of test where the cells from the swelling/nodule are taken using a thin needle. The sample of cells is then analyzed using the microscope. FNAC is useful in assessing whether the swelling is either:
- benign (non-cancer
- Inflammatory
- infectious (in some cases)
- suspicious or malignant (cancer-related)
- cystic (fluid-filled) or solid
FNAC is a highly recommended procedure as it’s minimally invasive, very speedy, and only needs local analgesic support.
For many patients, FNAC is the first major step that brings clarity and reduces anxiety—because it turns “guessing” into confirmed information.
Why FNAC Testing is done (Purpose & Benefits)
Doctors recommend FNAC for several reasons: FNAC gives a quick peep into what the lump might be, and this can be done without undergoing an operation. It can also be used to determine whether to just keep monitoring, to just manage the condition medically, or to take further investigations based on the results, should the lesion require consultation by a specialist. It can also spare a patient an operation when found that the lump may be harmless. This in most cases can be done in a day care center and will require minimal time to recover from.
This is particularly useful in the case of thyroid nodules and swollen lymph nodes, which are very common and benign, but when they appear, they should be verified to determine whether they’re growing, symptomatic, or suspicious on imaging.
Who Should Visit an FNAC Testing Centre in Jaipur?
You should visit FNAC centers in Jaipur if you are advised to undergo FNAC because of:
- A thyroid nodule or neck lump
- Swollen lymph nodes in the groin, neck, or underarm areas
- Breast lump (in certain instances)
- Swelling of the salivary glands
- A soft tissue mass beneath the skin
- A cyclical cystic swelling
- “Any lump with growth or symptoms”
Perhaps your physician can recommend a needle aspiration following your ultrasound or physical examination if your nodule appears suspicious or uncertain prior to commencing your course of treatment.
What is an FNAC test?
Most FNAC biopies are accomplished sequentially as follows:
- The doctor examines your past medical records and image studies, particularly the ultrasound.
- The whole area where the procedure will take place is thoroughly cleansed.
- Using the fine needle, the lump will be entered to aspirate cells.
- The sample is placed on slides for lab analysis.
- It involves applying a small bandage, and you’re free to go thereafter.
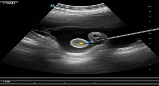
Under ultrasound guidance, real-time imaging allows the physician to guide the needle directly into the target in the nodule or the lymph nodes, increasing the quality of the procedure and alleviating the possibility of sampling the wrong spot. FNAC is a rather swift technique, although the entire visit may involve a little preparation and observation
Common Areas Where FNAC is Done
In an FNAC testing facility located in Jaipur, the procedure is widely utilized for:
Thyroid FNAC
Thyroid nodules are a fairly common occurrence. FNAC is used to distinguish whether the nodule is a benign one, may be the result of thyroiditis, may be a cyst, or is suspicious. To be more accurate, particularly in the case of small or retrosternal nodules, FNAC of the thyroid is typically guided
Lymph Node FNAC
Anatomically, an enlarged lymph node can arise due to infection, inflammation, tuberculosis, and other conditions. FNAC assists in determining the cause of the lymph node enlargement.
Breast Lump FNAC
FNAC may be advised in selected cases of breast lumps, especially when the lump is likely benign or cystic. In many cases, doctors also recommend core needle biopsy test for deeper tissue architecture—so suitability is case-dependent.
Salivary Gland FNAC
Swelling in salivary glands (like parotid) may be evaluated through FNAC to identify inflammatory or tumor-related causes.
Soft Tissue Lump FNAC
Lumps under the skin in arms, legs, or back may be evaluated with FNAC, especially if they are superficial and easy to target
Types of FNAC Testing
1) Palpation-Guided FNAC
This is done when the lump is clearly felt by hand. The doctor identifies the lump and takes a sample directly. This is common for obvious enlarged lymph nodes or superficial lumps.
2) Ultrasound-Guided FNAC This is preferred when:
- the nodule is small
- it is deep or not clearly felt
- precise sampling is important (like thyroid nodules)
- the lesion has mixed solid/cystic areas and needs targeted sampling Ultrasound guidance improves accuracy and lowers the chance of “insufficient sample,” which is a common reason for repeat FNAC.
3) FNAC in Cystic Lesions (Aspiration of Fluid):
In cases where the lump may be cystic, FNAC may involve aspirating or draining the lump to relieve the pressure, with the aspirated fluid being sent out for cytology analysis if the need arises.
Is FNAC Safe?
Yes. FNAC, if properly carried out in a sterile environment, poses little risk. Since the needle is very thin, the risk of complications is low. Common, mild effects may include:
- slight pain at the site
- minor bruising
- temporary tenderness
Rare risks (uncommon) may include:
- mild bleeding (usually controlled easily)
- infection (rare with sterile technique)
In thyroid FNAC, mild discomfort is common but usually short-lived. Most patients return to normal activity the same day.
Preparation before FNAC Testing in Jaipur
- You can bring reports, ultrasound pictures, or prescriptions when you go to the health center
- Inform the doctor if taking blood thinners (do not stop taking the medication).
- Inform about any bleeding disorder or bleeding diathesis.
- Wear comfortable clothes, particularly in neck or breast FNAC.
- Obey any specific instructions given.
Most often, you won’t need to fast prior to an FNAC procedure. Even when fasting is not needed, the procedure may vary from situation to situation.
FNAC Recovery and Aftercare
What to do After FNAC:
- Leave the bandage on the area you have been treated for as long as your physician instructed you.
- Do not press or rub that area. – A little pain is expected, but this should resolve itself fairly quickly.
- Contact the clinic if you experience heavy bleeding, swelling, or fever (seldom).
In most of these patients, the individual will be able to return to work and other daily activities on the same
FNAC Report: What The Results May Indicate
A pathologist evaluates the result of FNAC, which can have the following findings:
- Benign cells
- Inflammatory changes
- Infective findings (in some cases)
- Cyst fluid findings/contents
- Suspicious or malignant cells
- Inadequate/insufficient sample (possibly requiring repeat FNAC, especially in the absence of imaging guidance)
In the case of questionable or non-diagnostic results, a core biopsy, additional imaging, or a specialist referral may be recommended by your physician if there is a concern with the report.
Why Choose a Dedicated FNAC Testing Centre in Jaipur?
FNAC result accuracy depends largely on the correctness of the sample. A reliable FNAC centre ensures:
- proper lesion targeting (especially under ultrasound guidance)
- sterile technique and patient comfort
- high-quality sample preparation
- reduced chance of repeat testing For guaranteed outcomes and a hassle-free experience,
the choice of a good FNAC test in Jaipur is important.
Frequently Asked Questions
1) What is FNAC testing?
This is a technique in which a fine needle is used to obtain cells from a mass or nodule in order to have a closer examination of them under a microscope.
2) Is FNAC a biopsy?
It’s really just a sampling using a needle, often referred to as the “cytology biopsy,” but this time instead of analyzing the tissue, the cells only.
3) Is FNAC painful?
Most individuals experience mild to moderate pain, pressure-like sensations, and rarely any pain due to the use of fine needles.
4) Why is thyroid FNAC performed?
It assists in identifying whether a thyroid nodule is benign, inflamed, cystic, and/or suspicious and therefore helps inform treatment plans accordingly.
5) Do I have to fast before FNAC?
Not really. It’s rare that a patient would be asked to fast before FNAC.
6) Is ultrasound-guided FNAC an improvement?
When it comes to picking up smaller, deeper, or more delicate nodules, ultrasound-guided FNAC is an improvement.
7) How long does FNAC take?
Generally it is quick, although the overall time may include a little preparation and a brief observation period.
8) Are there risks with FNAC testing?
The risks are small. You may have some bruising or tenderness. Serious complications are rare.
9) How soon would I receive the results of my FNAC?
That depends on how quickly the lab processes samples, not to mention the internal flow within the clinic.
10) What if the FNAC result is indeterminate?
Your doctor may recommend a repeat of FNAC, usually with ultrasound assistance, or core needle biopsy, whichever is indicated.
11) Can FNAC diagnose cancer?
In many instances, FNAC will be able to pick up suspicious/malignant cells, but confirmation and possibly further testing may be advised depending on the report.
12) Is FNAC possible for lymph nodes?
Yes. Lymph node aspirates are commonly performed for the investigation of lymph node enlargement due to infection, inflammation, or other causes.
