DSA provides detailed images of the blood vessels in the brain to assess any issues with blood flow. The procedure involves inserting a small, thin catheter into an artery in the leg, guiding it through the vessels to the brain. A contrast dye is then injected, and X-ray images are captured of the blood vessels.
Aneurysm coiling, also known as endovascular coiling, is a minimally invasive procedure used to treat brain aneurysms. During the procedure, a catheter is inserted into an artery in the groin and carefully guided to the brain artery containing the aneurysm.
Mechanical thrombectomy is a minimally invasive endovascular procedure used to remove blood clots from the brain after an ischemic stroke. A small incision is made in the groin, through which thin tubes (catheters) are guided to the clot.
AVM embolization is a minimally invasive procedure that targets and blocks abnormal blood vessels in an arteriovenous malformation (AVM). This treatment is particularly important for AVMs located in the brain, as they can lead to severe neurological damage if they rupture.
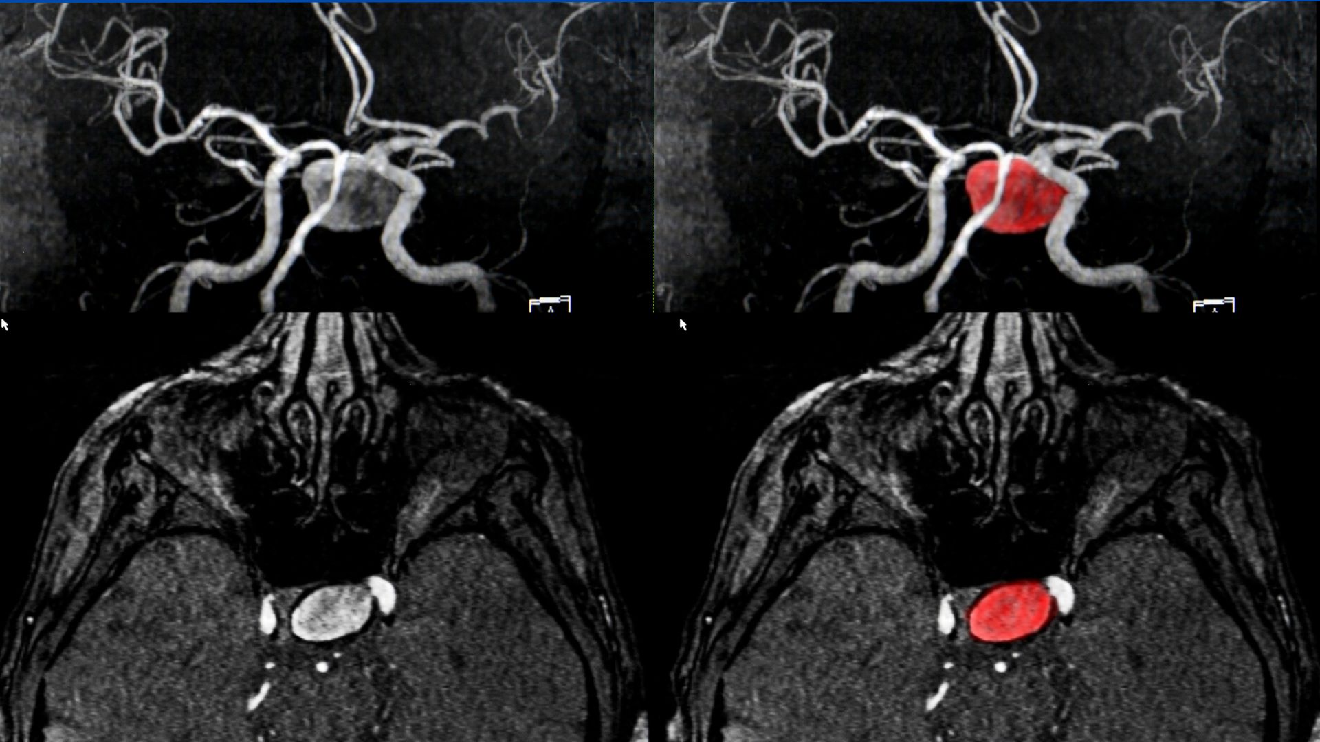
Aneurysm Coiling
Aneurysm coiling, also known as endovascular coiling, is a minimally invasive procedure used to treat brain aneurysms. During the procedure, a catheter is inserted into an artery in the groin and carefully guided to the brain artery containing the aneurysm. Tiny coils are then placed within the aneurysm to prevent blood flow, reducing the risk of rupture.
How It Works
- A catheter is inserted into an artery in the groin.
- X-rays help guide the catheter into the brain artery.
- The catheter is maneuvered into the aneurysm.
- Tiny platinum coils are placed inside the aneurysm.
- The coils conform to the shape of the aneurysm, promoting clotting and sealing off the aneurysm.
Advantages
- Low risk of complications
- Reduced risk of recurrence
- High success rates
- Quick recovery
- Minimal scarring

